
叢生ともいいます。
前歯がでこぼこに生えていたり、奥歯が内側に倒れていたりと歯が入りくんで生えている状態です。

上下の前歯がでこぼこに並んでいます。
典型的な例は八重歯。
8歳ごろまでは側方拡大装置を使用し顎を広げることででこぼこの緩和ができます。
10〜12歳ごろの場合、特になにもしないで観察することが多いです。(歯の生えかわりのため。)
12歳を過ぎるとマルチブラケット装置を使用しきれいな歯並びにします。大人の歯(永久歯)が大きい場合は、永久歯の抜歯をして並べるスペースをつくることが多いです。
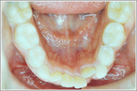
下の前歯がでこぼこに並んでいます。


顎を広げると自然に曲がっていた歯が治りました。

